P141 Nachweis einer Hinterwandnarbe im Kardio MR nach Septumablation bei hypertropher obstruktiver Kardiomyopathie.
B.Hullmann, K.Kronberg, T.Weißmüller, G.-H.Reil
Klinikum Oldenburg, Oldenburg.

Einleitung: Als Behandlungsmethode der hypertrophen obstruktiven Kardiomyopathie ist die perkutane transkoronare Septumablation durch Gabe von 2 - 5 ml Ethanol in den ersten oder zweiten Septalast ein etabliertes Therapieverfahren. Durch den erreichten Septalwandinfarkt mit anschließender Narbenbildung kommt es zu einer Wanddickenabnahme des Septums und zur Verminderung der linksventrikulären Ausflusstraktobstruktion.

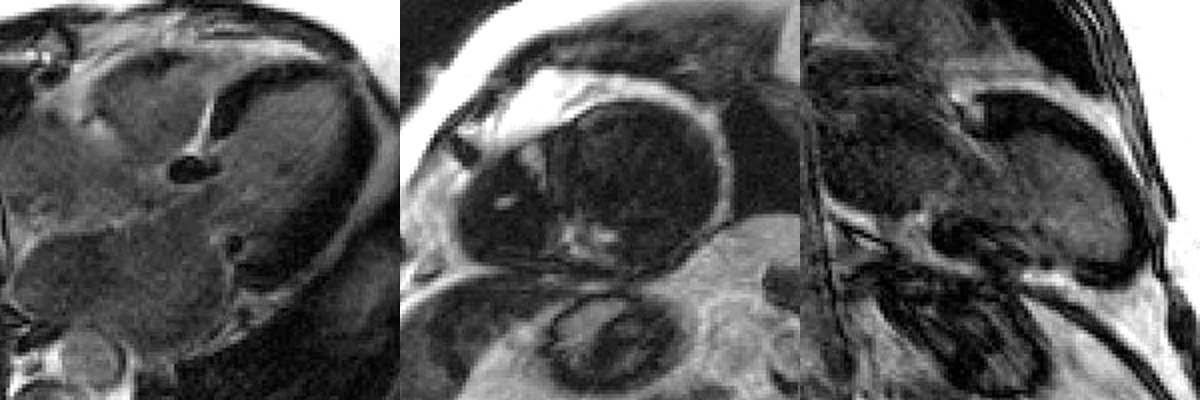
Fallbeispiel: Bei einer 73 jährigen Patientin wurde bereits 1998 nach Ausschluss einer koronaren Herzerkrankung eine Septumablation durchgeführt. Bei persistierenden Beschwerden stellte sich die Patientin in unserer Klinik vor. Zur Klärung des genauen Ausmasses der erzielten Narbe führten wir ein Kardio MR mit Kontrastmittelgabe und Spätaufnahmen durch (Late Enhancement). Die Auswertung zeigte eine umschriebene septale Narbe apikal der Ausflusstraktobstruktion, die nach inferoseptal bis auf die mediale Hinterwand hinüberzog (Abb.1). In der Cine MR Untersuchung war ein Fortbestehen der Obstruktion am Bereich des basalen Septum nachweisbar.


Late Enhancement im Septum und in der Hinterwand ..

Schlussfolgerung:

- Die Kardio MR Technik des Late Enhancements ermöglicht eine genaue Abgrenzung der Narbenbildung nach Septumablation.

- Die dargestellte Hinterwandnarbe ist am ehesten auf eine tiefe Alkoholinjektion in einen Septalast des RIVA`s zurückzuführen. Durch den Übertritt von Alkohol über die Septaläste des RIVPs kann es zur Narbenbildung im Hinterwandbereich kommen.